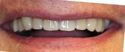
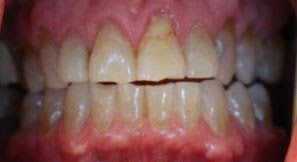
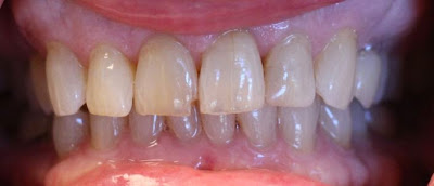
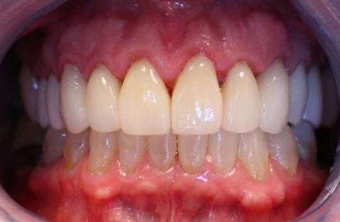
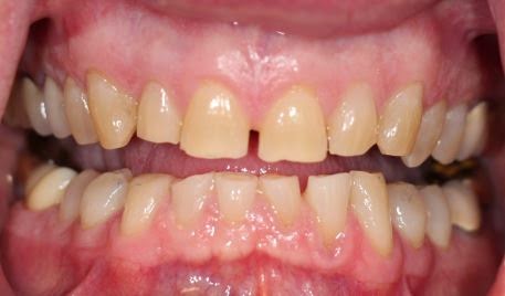
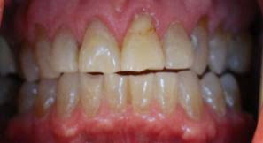
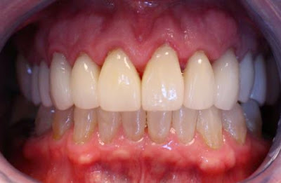
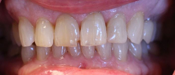
CROWNS:
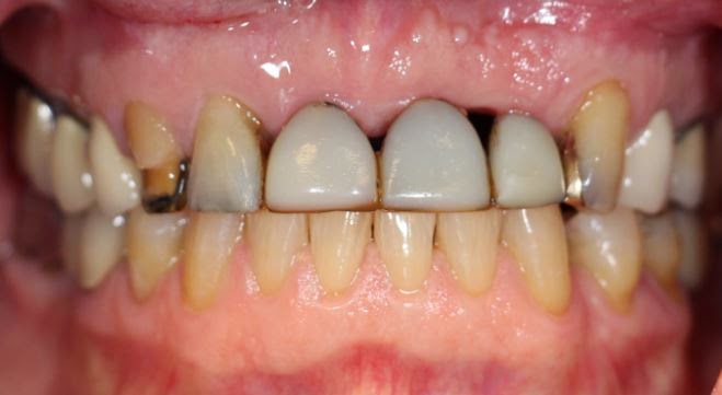
BEFORE
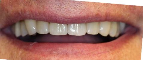
AFTER
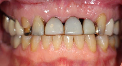
BEFORE
AFTER
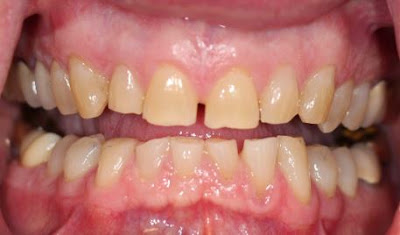
BEFORE
AFTER
BEFORE
AFTER
BRIDGE:
BEFORE
AFTER
Our Service Trip to Tonga
I feel service to be one of the most rewarding actions we as humans can be involved in. There is simply no feeling that compares to the satisfaction one feels after serving.
In February, 2012, Monica and I, along with 12 other dentists traveled to the Island of Tonga to provide dental service for a week. As you will see from the pictures, the office was primitive and cluttered, but that didn't stop the work from steam rolling ahead. It also didn't stop the smiles from flowing from the faces of the humble Tongan people as we performed very needed dental work.
Overall, we treated over 150 people in the 4 1/2 days we were in the clinic. Unfortunately, we didn't even begin to make dent in the need that exists on the island. Although that is true, we still feel we made a difference in the lives of those we had the privilege of helping.
Pre-missionaries were of top priority. They needed their work completed so they could go off and do service themselves.
The children at the Liahona school were also high on the list.
We even treated a group of nuns from the island of Samoa. Monica was my lovely assistant for this procedure.
We were able to save a lot of teeth by doing root canals instead of extractions which are usually done on service trips to small countries.
I traveled all the way to Tonga to treat a Palangi (white person)?
There is a major problem with tooth decay due to the lack of hygiene and dental education. This sweet 12 year old refused to smile with her teeth showing knowing how she looked.
3 root canals and 3 composite fillings later...
and she was learning how to smile again. You can see that she is used to turning her head to the side in order to not be seen though.
